Bài viết được viết bởi Bác sĩ Hàn Thu Hương – Trung tâm công nghệ cao Vinmec
Kết quả xét nghiệm NST đồ sẽ được các chuyên gia di truyền tư vấn và tùy theo loại đột biến mà người có đột biến NST và gia đình sẽ được tư vấn và tiên lượng cụ thể về nguyên nhân và các khả năng có thể xảy ra đối với họ cũng như các thế hệ tương lai.
1. Khái niệm công thức nhiễm sắc thể
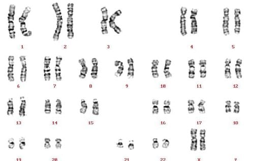
Công thức nhiễm sắc thể (Karyotype) được dùng để mô tả bộ nhiễm sắc thể (NST) trong tế bào sinh dưỡng một loài sinh vật nhân chuẩn. Các nhiễm sắc thể được mô tả (bằng cách sắp xếp ảnh hiển vi) theo định dạng chuẩn được gọi là karyogram hoặc idiogram: theo cặp, được sắp xếp theo kích thước và vị trí của tâm động đối với NST có cùng kích thước.
Bộ nhiễm sắc thể của người bình thường bao gồm 22 cặp NST thường và 1 cặp NST giới tính với karyotype được viết dưới dạng: 46,XX ở người nữ hoặc 46,XY ở người nam. 46 NST người được xếp thành 7 nhóm, ký hiệu là A, B, C, D, E, F và G, theo vị trí của phần tâm.
- Nhóm A có 3 cặp NST có kích thước lớn nhất. Cặp số 1: tâm giữa, cặp số 2: tâm lệch, cặp số 3: tâm giữa.
- Nhóm B có 2 cặp NST số 4 và số 5. Các NST trong nhóm này có kích thước lớn và không phân biệt được về chiều dài. Chúng đều có tâm lệch.
- Nhóm C có 7 cặp NST, bao gồm từ số 6 đến số 12 là các NST có chiều dài trung bình. NST X cũng được xếp vào nhóm này. Tất cả các NST thuộc nhóm C đều tâm lệch, khó phân biệt giữa chúng với nhau.
- Nhóm D có 3 cặp NST số 13, 14 và 15. Tất cả các NST thuộc nhóm này có kích thước trung bình và đều là NST tâm đầu, có vệ tinh gắn vào nhánh ngắn. Khó phân biệt giữa chúng với nhau.
- Nhóm E có 3 cặp NST số 16, 17 và 18, các NST này tương đối ngắn. NST số 16 có tâm giữa, còn cặp số 17 và 18 có tâm lệch.
- Nhóm F có 2 cặp NST số 19 và số 20. Cả hai NST này có kích thước ngắn và đều có tâm giữa.
- Nhóm G có 2 cặp NST số 21 và số 22. Các NST có kích thước ngắn, đều có tâm đầu và có vệ tinh. NST Y cũng được xếp vào nhóm này. Hai chromatid của NST Y xếp song song hơn so với NST của nhóm G. NST Y không có vệ tinh.
2. Xét nghiệm công thức nhiễm sắc thể
Xét nghiệm công thức nhiễm sắc thể là một kỹ thuật cho phép kiểm tra bộ nhiễm sắc thể người. Kỹ thuật được sử dụng phổ biến để lập karyotype là kỹ thuật nhuộm băng G, hiện được sử dụng trong hầu hết các phòng xét nghiệm di truyền tế bào học. Kỹ thuật này chỉ cho phép phát hiện các bất thường cấu trúc có kích thước lớn. Các trường hợp bất thường NST có kích thước nhỏ, thể khảm mô, khảm tỉ lệ thấp sẽ không thể được phát hiện.
Bất kỳ một thay đổi nào về số lượng hoặc cấu trúc nhiễm sắc thể đều có thể là dấu hiệu bệnh lý di truyền. Xét nghiệm công thức nhiễm sắc thể được sử dụng để phát hiện các rối loạn di truyền trong chẩn đoán trước sinh và sau sinh.
- Trong chẩn đoán trước sinh, các thai phụ được chỉ định chọc ối hoặc sinh thiết gai rau làm xét nghiệm nhiễm sắc thể đồ thai nhi trong một số trường hợp:
- Thai phụ có tiền sử sảy thai tự nhiên, thai lưu liên tiếp
- Thai phụ có tiền sử sinh con dị tật.
- Những cặp vợ chồng thai phụ đã được xác định một trong hai người có đột biến cấu trúc NST di truyền được.
- Những thai phụ lớn tuổi, thai phụ có kết quả siêu âm thai bất thường.
- Những thai phụ có kết quả sàng lọc bằng huyết thanh (Double test, Triple test) có nguy cơ cao sinh con dị tật.
- Trong chẩn đoán sau sinh: xét nghiệm NST đồ từ máu ngoại vi hoặc tủy xương được chỉ định trong một số trường hợp:
- Trẻ sơ sinh có dị tật bẩm sinh.
- Trẻ chậm phát triển tâm thần vận động chưa rõ nguyên nhân.
- Mơ hồ về giới tính, bộ phận sinh dục chưa rõ là nam hay nữ.
- Tiền sử gia đình có người bị đột biến NST.
- Những cặp vợ chồng vô sinh nguyên phát hoặc thứ phát.
- Nữ giới vô kinh nguyên phát hoặc vô kinh thứ phát.
- Cặp vợ chồng sảy thai hoặc thai lưu liên tiếp.
- Người bệnh bạch cầu cấp thể tủy hoặc thể lympho, u nguyên bào thần kinh…
3. Quy trình thực hiện
3.1. Lấy mẫu xét nghiệm
- Máu ngoại vi: 2ml máu ngoại vi vô trùng trong ống chống đông heparin.
- Tủy xương: 2ml máu tủy vô trùng (sinh thiết) trong ống chống đông heparin.
- Dịch ối: 15 – 20 ml dịch ối vô trùng (chọc ối).
- Gai rau: 15 – 20 mg gai rau (sinh thiết).
Chuyển ngay mẫu cho phòng xét nghiệm để tiến hành nuôi cấy. Trong trường hợp không thể chuyển ngay, cần bảo quản ở 4-8oC trong vòng 24h.
3.2. Quy trình xét nghiệm
- Nuôi cấy tế bào trong môi trường chuyên biệt, kích thích tế bào phân chia.
- Nhiễm sắc thể có số lượng, hình dạng rõ nhất và điển hình nhất ở kì giữa trong quá trình phân chia của tế bào vì vậy trước khi thu hoạch các tế bào được làm dừng quá trình phân bào bằng hóa chất.
- Sử dụng sốc nhược trương để phá vỡ màng tế bào, đảm bảo NST dàn đều và tách rời.
- Định hình nhiễm sắc thể
- Lên tiêu bản và nhuộm nhiễm sắc thể.
- Phân tích nhiễm sắc thể, lập Karyotype theo quy ước quốc tế.
3.3. Kết quả xét nghiệm
- Không có bất thường số lượng, cấu trúc nhiễm sắc thể
46,XX đối với nữ giới – 46,XY đối với nam giới
- Bất thường số lượng, cấu trúc nhiễm sắc thể
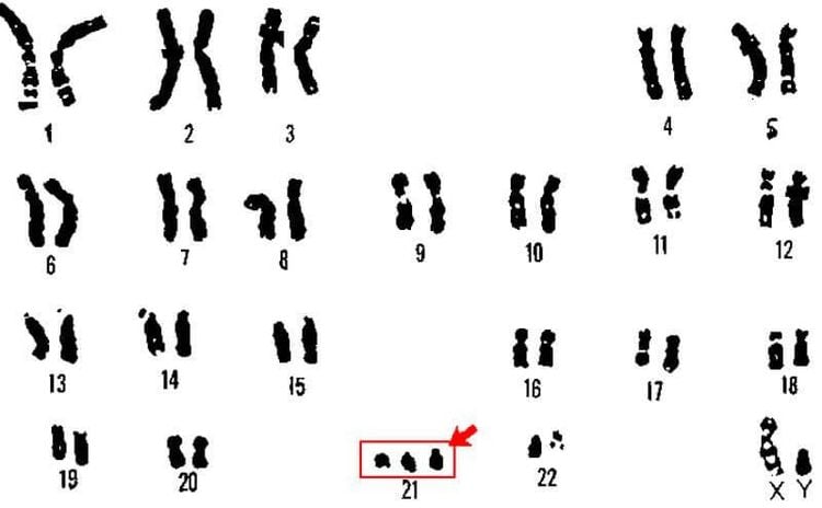
Rối loạn số lượng: có nhiều hoặc ít hơn 46 NST. Một số bệnh lý phổ biến hội chứng Down (Trisomy 21), hội chứng Edwards (Trisomy 18), hội chứng Turner (45,X)…
Rối loạn cấu trúc: NST thay đổi cấu trúc như mất đoạn, lặp đoạn, đảo đoạn, chuyển đoạn.
Rối loạn cấu trúc: NST thay đổi cấu trúc như mất đoạn, lặp đoạn, đảo đoạn, chuyển đoạn.
Kết quả xét nghiệm NST đồ sẽ được các chuyên gia di truyền tư vấn và tùy theo loại đột biến mà người có đột biến NST và gia đình sẽ được tư vấn và tiên lượng cụ thể về nguyên nhân và các khả năng có thể xảy ra đối với họ cũng như các thế hệ tương lai.
Bệnh viện Đa khoa Quốc tế Vinmec là một trong những bệnh viện không những đảm bảo chất lượng chuyên môn với đội ngũ y bác sĩ, hệ thống trang thiết bị công nghệ hiện đại mà còn nổi bật với dịch vụ khám, tư vấn và chữa bệnh toàn diện, chuyên nghiệp; không gian khám chữa bệnh văn minh, lịch sự, an toàn và tiệt trùng tối đa.
Khách hàng có thể trực tiếp đến hệ thống Y tế Vinmec trên toàn quốc để thăm khám hoặc liên hệ hotline tại đây để được hỗ trợ.
Tài liệu tham khảo
- J. McGowan-Jordan, A. Simons, M. Schmid. ISCN 2016: An International System for Human Cytogenomic Nomenclature.
- Marilyn S. Arsham, Margaret J. Barch, Helen J. Lawce. The AGT Cytogenetics Laboratory Manual. Fourth Edition, 2017.
- Suresh Kandagal Veerabhadrappa, Pramod Redder Chandrappa, Seema Yadav Roodmal, Sharan J Shetty, Gunjiganur S Madhu Shankari, Kumbar P Mohan Kumar. Karyotyping: Current perspectives in diagnosis of chromosomal disorders. Sifa Medical Journal, 2016.
XEM THÊM:
- Các bệnh do bất thường nhiễm sắc thể gây ra
- Xét nghiệm FISH chẩn đoán trước sinh
- Xét nghiệm nhiễm sắc thể đồ trong chẩn đoán vô sinh
Để đặt lịch khám tại viện, Quý khách vui lòng bấm số HOTLINE hoặc đặt lịch trực tiếp TẠI ĐÂY. Tải và đặt lịch khám tự động trên ứng dụng MyVinmec để quản lý, theo dõi lịch và đặt hẹn mọi lúc mọi nơi ngay trên ứng dụng.
