Hình ảnh nội soi viêm trực tràng do Mycobacterium avium-intracellulare (MAI) ở bệnh nhân nhiễm HIV đóng vai trò quan trọng trong quá trình chẩn đoán bệnh, đặc biệt trong bối cảnh hiện nay khi tỷ lệ nhiễm HIV vẫn còn cao và viêm trực tràng do nhiễm trùng cơ hội ngày càng có số ca mắc bệnh được ghi nhận nhiều hơn.
Bài viết này được tư vấn chuyên môn bởi ThS. BS Mai Viễn Phương – Trưởng đơn nguyên Nội soi tiêu hóa – Khoa Khám bệnh & Nội khoa – Bệnh viện Đa khoa Quốc tế Vinmec Central Park.
1. Tác nhân gây bệnh viêm trực tràng
Viêm trực tràng là tình trạng viêm niêm mạc trực tràng với phạm vi viêm không quá 15 cm từ đại tràng. Các triệu chứng của bệnh có thể khác nhau tùy theo nguyên nhân và mức độ viêm, nhưng triệu chứng phổ biến nhất là cảm giác muốn đi đại tiện liên tục. Bên cạnh đó, bệnh nhân còn có thể gặp phải các triệu chứng như đau hậu môn, chảy dịch ở hậu môn, táo bón và chảy máu trực tràng. Viêm trực tràng có thể do nhiều nguyên nhân, cả nhiễm trùng và không do nhiễm trùng. Trong các trường hợp viêm trực tràng do nhiễm trùng, nguyên nhân thường gặp nhất là các bệnh lây qua đường tình dục.
Theo một nghiên cứu hồi cứu do Klausner cùng cộng của mình sự thực hiện tại San Francisco, các tác nhân gây bệnh viêm trực tràng chủ yếu là lậu (30%), chlamydia (19%), HSV-2 (16%), và giang mai (2%). Tuy nhiên, trong 46% trường hợp, không tìm được tác nhân gây bệnh cụ thể. Nhiễm trùng đồng thời cũng khá phổ biến, với 10% bệnh nhân bị viêm trực tràng do nhiễm trùng có xét nghiệm dương tính với nhiều tác nhân gây bệnh.
Tình trạng nhiễm HIV có thể ảnh hưởng đến sự phân bố các tác nhân gây bệnh viêm trực tràng. Một nghiên cứu tại Úc của Bissessor và cộng sự đã so sánh phổ vi sinh vật gây viêm trực tràng giữa hai nhóm người, bao gồm những người nhiễm HIV và những người không nhiễm HIV, tất cả đều là nam giới có quan hệ tình dục với nam giới.
Nghiên cứu của Bissessor và cộng sự cho thấy, so với nhóm còn lại, những cá nhân nhiễm HIV có tỷ lệ viêm trực tràng cao hơn do bệnh lymphogranuloma venereum (7,8% so với 0,7%, p = 0,004), HSV-1 (14,2% so với 6,5%, p = 0,04), HSV-2 (22% so với 12,3%, p = 0,03) và nhiều bệnh nhiễm trùng (17,7% so với 8,6%, p = 0,017).
Điều đáng chú ý là 28% cá nhân nhiễm HIV không tìm thấy tác nhân gây bệnh rõ ràng, tỷ lệ này thấp hơn nhiều so với nhóm bệnh nhân không nhiễm HIV.
Các bệnh nhân trong nghiên cứu này biểu hiện triệu chứng điển hình của viêm trực tràng. Tuy nhiên, một số nghiên cứu về bệnh lây truyền qua đường tình dục chưa phát hiện được nguyên nhân cụ thể. Các nghiên cứu sau đó đã phát hiện một số trường hợp viêm trực tràng do Mycobacterium avium intracellulare (MAI).
MAI là một trong những tác nhân phổ biến gây nhiễm trùng cơ hội ở bệnh nhân mắc HIV/AIDS. Loại vi khuẩn này có mặt trong môi trường xung quanh và lây truyền chủ yếu qua đường hít thở hoặc nuốt phải. Ở những người đàn ông đồng tính, lây truyền qua quan hệ tình dục cũng đã được ghi nhận.
Nguy cơ nhiễm trùng MAI ở bệnh nhân nhiễm HIV gia tăng khi số lượng tế bào CD4 giảm xuống dưới 50 tế bào/uL.
Một đặc điểm đáng chú ý ở bệnh nhân là số lượng tế bào CD4 tương đối cao (304 tế bào/uL) khi nhập viện, điều này không phổ biến ở các bệnh nhân HIV bị nhiễm trùng MAI. Điều này có thể do yếu tố di truyền, làm tăng khả năng mắc phải nhiễm trùng này.
Trong một nghiên cứu của Nhóm AIDS Đa trung tâm, các alen kháng nguyên bạch cầu người (HLA) lớp II, đặc biệt là các gen DRB1, DQB, DM, có liên quan mật thiết với sự phát triển của nhiễm trùng MAI. Do đó, yếu tố di truyền có thể là nguyên nhân giải thích sự phát triển của nhiễm trùng MAI ở bệnh nhân của họ.
2. Hình ảnh nội soi viêm trực tràng: Ý nghĩa và vai trò trong chẩn đoán
Hình ảnh nội soi viêm trực tràng là một công cụ rất quan trọng giúp các bác sĩ có thể quan sát trực tiếp bên trong đại tràng và trực tràng, từ đó phát hiện và đánh giá các vấn đề sức khỏe liên quan đến hệ tiêu hóa. Quá trình nội soi cho phép bác sĩ nhìn thấy những bất thường trong đại tràng và trực tràng, giúp đưa ra chẩn đoán sớm và chính xác hơn.
Các thông tin quan trọng mà hình ảnh nội soi viêm trực tràng cung cấp bao gồm:
- Polyp: Đây là những khối u nhỏ, thường lành tính, nhưng nếu không được phát hiện và điều trị kịp thời, có thể phát triển thành ung thư.
- Viêm loét: Viêm loét đại tràng có thể gây ra các triệu chứng như đau bụng, tiêu chảy, ra máu… Đây là một tình trạng cần được kiểm tra và điều trị sớm để tránh biến chứng.
- Ung thư đại trực tràng: Hình ảnh nội soi có thể giúp phát hiện sớm các khối u ác tính, từ đó tăng cơ hội điều trị thành công và cải thiện tỷ lệ sống sót cho bệnh nhân.
- Các tổn thương khác: Hình ảnh nội soi viêm trực tràng cũng giúp phát hiện các vấn đề khác như chảy máu, hẹp đường ruột, dị vật hay tổn thương do viêm nhiễm.
- Đánh giá mức độ nghiêm trọng: Qua nội soi, bác sĩ có thể đánh giá kích thước, vị trí và mức độ lan rộng của các tổn thương trong đại tràng, từ đó đưa ra phán đoán chính xác về tình trạng bệnh và quyết định phương pháp điều trị phù hợp.
- Lấy mẫu sinh thiết: Trong quá trình nội soi, bác sĩ có thể lấy mẫu từ các tổn thương để thực hiện xét nghiệm sinh thiết. Việc này giúp xác định chính xác bản chất của tổn thương, từ đó phân biệt các bệnh lý lành tính và ác tính.
3. Hình ảnh nội soi viêm trực tràng do Mycobacterium avium-intracellulare ở bệnh nhân nhiễm HIV
Viêm trực tràng là tình trạng viêm niêm mạc trực tràng, thường gặp ở nam giới nhiễm HIV, đặc biệt là những người có quan hệ tình dục với nam giới (MSM). Trong nhóm bệnh nhân này, các bệnh lây truyền qua đường tình dục là nguyên nhân chính gây viêm trực tràng nhiễm trùng. Các tác nhân gây bệnh phổ biến bao gồm Herpes simplex, Chlamydia trachomatis và Neisseria gonorrhoeae, bên cạnh một số tác nhân khác. Tuy nhiên, trong nhiều trường hợp, không thể xác định được tác nhân gây bệnh cụ thể.
Mycobacterium avium-intracellulare (MAI), một loại vi khuẩn không phải lao, mặc dù chưa được xác nhận là tác nhân gây viêm trực tràng, nhưng thường gây bệnh lan tỏa ở bệnh nhân HIV có hệ miễn dịch suy yếu nghiêm trọng, với số lượng tế bào CD4 dưới 50 tế bào/uL.
Các vấn đề liên quan đến đường tiêu hóa do MAI đã được ghi nhận trong nhiều báo cáo, với tá tràng là cơ quan bị ảnh hưởng phổ biến nhất. Tuy nhiên, viêm trực tràng do MAI chỉ được ghi nhận là một phần của quá trình bệnh lan tỏa, ảnh hưởng đến đại tràng hoặc các cơ quan ngoài ruột khác.
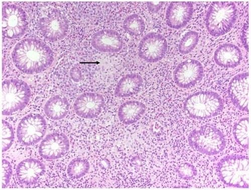
Khám đại tràng trong những trường hợp này thường không phát hiện bất kỳ bất thường nào. Tuy nhiên, khi xét nghiệm mô bệnh học của niêm mạc trực tràng, có thể thấy thâm nhiễm lymphoplasmacytic và bạch cầu trung tính tăng cao trong lớp niêm mạc propia. Các dấu hiệu viêm bao gồm viêm hốc mắt cấp tính, áp xe hốc mắt khu trú, cùng với những vết xói mòn và sự hình thành các u hạt chưa hoàn chỉnh trên hình ảnh nội soi viêm trực tràng (Hình 1).
Kết quả xét nghiệm mô học đối với HSV-1, HSV-2, CMV đều âm tính. Nhuộm AFB (trực khuẩn kháng axit) trên mẫu mô không phát hiện vi sinh vật nào. Phết AFB trong phân cũng cho kết quả âm tính. Tuy nhiên, hai tuần sau, nuôi cấy phân đã phát triển một chủng vi khuẩn thuộc loài Mycobacterium, được xác định là Mycobacterium avium-intracellulare (MAI) bằng phương pháp đầu dò DNA. Không thực hiện xét nghiệm nhạy cảm nào.
Nuôi cấy mẫu mô trực tràng không phát hiện vi sinh vật nào. Sau khi xác định được Mycobacterium avium-intracellulare, bệnh nhân đã được điều trị bằng azithromycin 500 mg mỗi ngày, rifabutin 300 mg mỗi ngày và ethambutol 1200 mg mỗi ngày.
Sau 2 tháng theo dõi và điều trị, ghi nhận bệnh nhân báo cáo các triệu chứng của bản thân đã hoàn toàn biến mất. Bốn tháng sau, việc sử dụng rifabutin đã được ngừng. Kế hoạch điều trị tiếp theo là tiếp tục dùng azithromycin và ethambutol trong sáu tháng nữa, hoàn thành liệu trình điều trị kéo dài một năm.
Để đặt lịch khám tại viện, Quý khách vui lòng bấm số HOTLINE hoặc đặt lịch trực tiếp TẠI ĐÂY. Tải và đặt lịch khám tự động trên ứng dụng MyVinmec để quản lý, theo dõi lịch và đặt hẹn mọi lúc mọi nơi ngay trên ứng dụng.
