Tay, chân và miệng là một bệnh nhiễm trùng phổ biến ở trẻ em, gây ra vết loét bên trong hoặc xung quanh miệng, cũng như phát ban và nổi mụn nước ở tay, chân, hoặc mông. Mặc dù các tổn thương này có thể đau đớn cho người bệnh, nhưng tay chân miệng khá lành tính và không nghiêm trọng.
1. Hình ảnh bệnh tay chân miệng
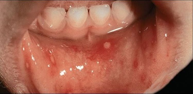
Bệnh tay chân miệng là một bệnh truyền nhiễm phổ biến nhưng khá lành tính, thường gặp ở trẻ nhỏ vào cuối mùa hè và đầu mùa thu. Coxsackievirus A16 và các chủng khác cùng loại là nguyên nhân gây ra bệnh. Các triệu chứng ban đầu bao gồm sốt nhẹ và khó chịu. Sau đó, trên vòm miệng, lưỡi, niêm mạc miệng và lưỡi gà của bệnh nhi sẽ xuất hiện các tổn thương dạng mụn nước, gây đau đớn và khó khăn trong việc ăn uống. Ở trẻ em nhỏ, tình trạng khó nuốt và chảy nước dãi do mụn nước ở miệng có thể dẫn đến mất nước, rất đáng lo ngại. Khoảng 1 – 2 ngày tiếp theo, các tổn thương này sẽ bắt đầu phát triển ở những bộ phận khác của cơ thể. Mụn nước có hình tròn hoặc bầu dục, bao quanh là một vầng hồng ban. Các cạnh của lòng bàn tay và lòng bàn chân là vị trí ưa thích của mụn nước, nhưng tổn thương vẫn có thể xảy ra trên toàn bộ cơ thể.
Nhiều tổn thương mụn nước nhỏ và rời rạc ở ngón tay, lòng bàn tay; tổn thương tương tự cũng xuất hiện trên bàn chân. Một số mụn nước thường dễ nhận thấy đường giới hạn xung quanh rõ ràng.
2. Chẩn đoán và điều trị bệnh tay chân miệng
Bác sĩ sẽ hỏi về các triệu chứng của trẻ và xem xét các vết loét hoặc phát ban. Thông thường, thăm khám như vậy là đủ để xác định trẻ có phải mắc bệnh tay, chân và miệng hay không. Tuy nhiên, bác sĩ cũng có thể lấy dịch họng, mẫu phân hoặc máu để xét nghiệm kỹ hơn.
Hiện nay, vẫn chưa có thuốc chữa trị hay có vắc-xin phòng bệnh tay, chân và miệng. Bởi vì nguyên nhân gây bệnh là do virus nên sử dụng kháng sinh sẽ không có hiệu quả. Bệnh thường tự khỏi sau 7 – 10 ngày nếu trẻ được chăm sóc tốt, đúng cách. Trong thời gian này, bác sĩ có thể giúp trẻ kiểm soát các triệu chứng với:
- Thuốc giảm đau không kê đơn như ibuprofen, acetaminophen hoặc thuốc xịt miệng gây tê. Lưu ý, không sử dụng aspirin vì có thể gây bệnh nghiêm trọng ở trẻ em.
- Dùng các món ăn lạnh như đá viên, sữa chua hoặc sinh tố để làm dịu cơn đau họng. Tránh uống nước trái cây và soda, vì có chứa axit sẽ làm kích ứng vết loét.
- Kem chống ngứa và trị phát ban như calamine.
Các biến chứng nghiêm trọng do bệnh tay, chân và miệng rất hiếm. Trong đó, tác nhân enterovirus 71 có nhiều nguy cơ gây ra vấn đề hơn các chủng virus khác cũng gây bệnh này. Một số biến chứng có thể bao gồm:
- Mất nước do loét miệng làm trẻ khó nuốt
- Sưng màng quanh não và tủy sống (viêm màng não do virus)
- Sưng / viêm não
- Sưng / viêm cơ tim
- Tê liệt
3. Phòng chống bệnh tay, chân và miệng
Trẻ dễ lây lan tay chân miệng nhất trong 7 ngày đầu tiên của bệnh. Tuy nhiên, virus có thể ở trong cơ thể của bệnh nhân nhiều ngày hoặc nhiều tuần, và lây truyền qua nước bọt hoặc phân. Để giảm nguy cơ bị nhiễm trùng, bố mẹ nên thực hiện các bước sau:
- Rửa tay cẩn thận, đặc biệt là sau khi thay tã hoặc lau mũi cho trẻ. Đồng thời giúp trẻ giữ sạch tay.
- Dạy trẻ che miệng và mũi khi ho hoặc hắt hơi hoặc. Nên che bằng miếng khăn giấy dùng 1 lần, nếu không thì cũng có thể sử dụng tay áo của trẻ.
- Làm sạch, khử trùng bề mặt và các vật dụng như đồ chơi của trẻ và tay nắm cửa.
- Không ôm hoặc hôn một người đang mắc bệnh tay, chân và miệng.
- Không dùng chung cốc hoặc vật dụng cá nhân với người bệnh.
- Không cho bệnh nhi đến trường hoặc nơi giữ trẻ nếu như chưa hết triệu chứng. Nên hỏi ý kiến bác sĩ về thời điểm cho trẻ đi học lại.
Mặc dù tay chân miệng không gây ra nhiều nguy hiểm, nhưng dễ lây lan và khiến trẻ đau đớn, khó chịu. Nếu muốn phát hiện sớm và chữa trị kịp thời, bố mẹ cần đưa con đi khám ngay khi thấy dấu hiệu bất thường, tương tự như các hình ảnh bệnh tay chân miệng ở trẻ em trong bài viết. Đặc biệt trong mùa dịch, để tránh tình trạng đông đúc, quá tải ở bệnh viện, khiến bé mệt mỏi hoặc lây nhiễm chéo một số căn bệnh khác, các bậc phụ huynh cũng nên lựa chọn những cơ sở y tế uy tín và chuyên nghiệp.
Nguồn tham khảo: medicinenet.com, webmd.com
XEM THÊM:
- Tay chân miệng, sốt xuất huyết vào mùa: Cảnh giác phòng tránh
- Chăm sóc trẻ bị bệnh tay chân miệng như thế nào?
- Bệnh tay chân miệng: Lâm sàng, chẩn đoán, biến chứng
Để đặt lịch khám tại viện, Quý khách vui lòng bấm số HOTLINE hoặc đặt lịch trực tiếp TẠI ĐÂY. Tải và đặt lịch khám tự động trên ứng dụng MyVinmec để quản lý, theo dõi lịch và đặt hẹn mọi lúc mọi nơi ngay trên ứng dụng.
