Bài viết được tư vấn bởi các Bác sĩ Sản phụ khoa – Khoa sản phụ khoa – Bệnh viện Đa khoa Quốc tế Vinmec Hải Phòng
Dưới tác động của hormone sinh dục, lớp nội mạc tử cung dày lên tùy theo thời điểm trong từng tháng. Niêm mạc tử cung dày lên có ý nghĩa quan trọng trong việc thụ thai.
1. Liên quan giữa niêm mạc tử cung và sự thụ thai
Niêm mạc tử cung còn gọi là nội mạc tử cung là lớp tế bào lót ở mặt trong tử cung, dưới tác động của nội tiết tố nữ niêm mạc tử cung thay đổi dày mỏng theo chu kỳ kinh nguyệt, tuổi tác và khi mang thai. Niêm mạc tử cung có vai trò quan trọng trong việc thụ thai, mang thai.
Trong suốt chu kỳ kinh nguyệt dưới tác động của hormone niêm mạc tử cung tăng sinh, đến khoảng giữa chu kỳ kinh nguyệt niêm mạc tử cung dày khoảng 8-12mm giai đoạn này xảy ra hiện tượng rụng trứng. Nếu có hiện tượng thụ thai xảy ra ở khoảng thời gian rụng trứng thì cơ thể sản xuất một lượng lớn hormone nữ làm cho niêm mạc tăng sinh mạnh mẽ giúp cho trứng đã thụ thai vào làm tổ.
Tuy nhiên, có một số trường hợp do nội tiết tố không đủ hoặc một số nguyên nhân khác dẫn tới niêm mạc tử cung mỏng hơn 8mm làm cho phôi thai không bám được vào buồng tử cung dẫn đến sảy thai. Hoặc có một số trường hợp niêm mạc tử cung quá dày làm cho quá trình thụ thai khó khăn hơn, có thể dẫn tới chậm có thai.
Đến cuối chu kỳ kinh nguyệt nếu không xảy ra quá trình thụ tinh, lượng hormone trong cơ thể giảm đột ngột dẫn tới niêm mạc bị bong ra và đẩy ra ngoài tạo thành hiện tượng hành kinh.
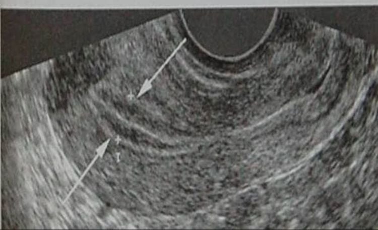
2. Niêm mạc tử cung dày bao nhiêu thì có thai?
Trước khi trả lời câu hỏi niêm mạc tử cung dày bao nhiêu thì có thai, cần phải biết sự biến đổi của niêm mạc tử cung theo chu kỳ kinh nguyệt như sau:
- Niêm mạc tử cung bình thường dày khoảng từ 7-8mm
- Giai đoạn đầu chu kỳ kinh, sau khi hành kinh là lúc niêm mạc tử cung mỏng nhất khoảng 3-4mm
- Giai đoạn rụng trứng niêm mạc tử cung khoảng từ 8-12mm.
- Nửa cuối chu kỳ niêm mạc tử cung dày đến khoảng 12-16mm.
Nếu kinh nguyệt đến chậm kết hợp với niêm mạc tử cung dày trong khoảng từ 8-16mm thì đây là một dấu hiệu cho thấy bạn đã thụ thai. Thế nên khi niêm mạc tử cung dày khoảng 13mm thử que 2 vạch thì khả năng bạn đã mang thai và độ dày niêm mạc tử cung như thế này phù hợp để cho thai phát triển.
Một số trường hợp tuy đã thụ thai nhưng niêm mạc tử cung lại quá mỏng dưới 8mm, thì khả năng trứng đã thụ tinh di chuyển từ vòi trứng (là nơi diễn ra quá trình thụ tinh) về buồng tử cung rất khó có thể bám vào lớp niêm mạc này. Dẫn tới nguy cơ sảy thai, thai chết lưu…
3. Làm sao để cải thiện niêm mạc tử cung?
Niêm mạc tử cung có thể quá dày hoặc quá mỏng và cả 2 tình trạng này đều sẽ ảnh hưởng đến quá trình mang thai ở phụ nữ. Vì vậy, khi bị niêm mạc tử cung dày hoặc mỏng ngoài điều trị bằng thuốc có thể kết hợp với chế độ ăn uống giúp cải thiện niêm mạc tử cung.
3.1 Niêm mạc tử cung dày
Thông thường, người có niêm mạc tử cung dày sẽ được chỉ định điều trị bằng hormone để tái thiết lập sự cân bằng giữa estrogen và progesterone trong cơ thể, nhờ đó gia tăng khả năng thụ thai của phụ nữ. Ngoài ra có thể kết hợp với các chế độ sau:
- Thường xuyên tập luyện thể dục thể thao sẽ giúp tiêu hao bớt lượng hormone estrogen trong cơ thể và giúp duy trì cân nặng hợp lý.
- Tránh thức khuya, khi ngủ đủ giấc giúp cơ thể tiết hormone cân bằng.
- Chế độ ăn uống: Hạn chế các thực phẩm có nguồn gốc từ đậu nành, các thực phẩm giàu vitamin C và sắt; hạn chế các thực phẩm chứa nhiều vitamin E
- Tái khám theo dõi tình trạng niêm mạc tử cung dày.
3.2 Niêm mạc tử cung mỏng
Ngoài điều trị các nguyên nhân chủ yếu dẫn tới niêm mạc tử cung mỏng có thể kết hợp với các chế độ như
- Chế độ ăn uống: Tăng cường các thực phẩm giàu sắt, vitamin C, vitamin E. Ngoài ra nên ăn các thực phẩm có nguồn gốc từ đậu nành vì trong đậu nành có thành phần tương tự estrogen.
- Nghỉ ngơi hợp lý, tránh thức khuya.
- Không nên nạo phá thai hay lạm dụng các thuốc kích trứng quá nhiều.
Tóm lại, niêm mạc tử cung dày khoảng từ 8-10mm là phù hợp nhất cho việc thụ thai. Tuy nhiên nếu sau khi châm kinh mà niêm mạc tử cung dày từ khoảng 8-16mm là khả năng có thai cao. Niêm mạc tử cung liên quan mật thiết tới sự thụ thai nên nếu niêm mạc quá mỏng hay quá dày ảnh hưởng tới quá trình thụ thai và làm tổ, khi bị bất thường độ dày niêm mạc tử cung cần khám tìm nguyên nhân và khắc phục giúp quá trình thụ thai, mang thai thuận lợi.
Để đặt lịch khám tại viện, Quý khách vui lòng bấm số HOTLINE hoặc đặt lịch trực tiếp TẠI ĐÂY. Tải và đặt lịch khám tự động trên ứng dụng MyVinmec để quản lý, theo dõi lịch và đặt hẹn mọi lúc mọi nơi ngay trên ứng dụng.
