Bộ não được coi là cơ quan quan trọng bậc nhất của cơ thể con người. Nó tham gia và kiểm soát hầu hết các chức năng và hoạt động chính của cơ thể. Thông thường, bộ não sẽ được phân chia thành nhiều thùy khác nhau, mỗi thùy đều giữ một vai trò riêng biệt. Khi những thùy này bị ảnh hưởng có thể gây ra các vấn đề về sức khỏe nhất định cho con người.
1. Tổng quan về não bộ của con người
Bộ não là một trong những cơ quan lớn nhất và phức tạp nhất trong cơ thể con người, được hình thành từ 100 tỷ tế bào thần kinh liên kết với nhau. Nó giữ nhiều chức năng quan trọng cũng như truyền tải các thông điệp mang nhiều ý nghĩa khác nhau của những điều xảy ra quanh ta thông qua 5 giác quan chính, bao gồm: Thị giác, thính giác, khứu giác, xúc giác và vị giác.
Bộ não của con người được hình thành từ nhiều khu vực chuyên biệt hoạt động cùng lúc với nhau, gồm có:
- Vỏ não: Là lớp ngoài cùng của tế bào não. Thông thường, suy nghĩ và các chuyển động tự giác sẽ được bắt đầu trong vỏ não.
- Thân não: Là phần nằm giữa tủy sống và phần còn lại của não. Nó giữ các chức năng cơ bản như kiểm soát thở và ngủ.
- Các hạch nền: Đây là một cụm cấu trúc ở trung tâm não. Các hạch nền sẽ phối hợp với các thông điệp giữa nhiều vùng não khác nhau.
- Tiểu não: Nằm ở đáy và phần sau của não. Tiểu não thường chịu trách nhiệm về việc điều phối và cân bằng của cơ thể.
Nhìn chung, não bộ sẽ giúp cơ thể kiểm soát được trí nhớ, suy nghĩ, hành động, lời nói và nhiều chức năng trọng yếu khác. Ngoài ra, nó cũng giúp con người điều hòa được nhịp thở cũng như nhịp tim trong những tình huống gây căng thẳng và áp lực, chẳng hạn như mất việc làm, bệnh tật, sinh con, hoặc tham gia thi cử,…
Thông thường, não của một đứa trẻ mới sinh ra sẽ có trọng lượng trung bình khoảng 450 gram. Đối với phụ nữ trưởng thành, não sẽ có trọng lượng trung bình khoảng 1220 gram, và ở nam giới trưởng thành sẽ nặng khoảng 1360 gram.
2. Các thùy của não bộ
Mỗi bên của não bộ được chia thành 4 thùy chính, bao gồm: Thùy trán, thùy đỉnh, thùy thái dương và thùy chẩm. Dưới đây là những chức năng chính của mỗi thùy:
2.1 Thùy trán (Frontal lobe)
Đây là thùy lớn nhất trong số bốn thùy ở não, chịu trách nhiệm chủ yếu về việc giải quyết các vấn đề, phán đoán và chức năng vận động. Vùng vỏ não vận động nguyên phát (hồi trước trung tâm) thường quyết định đến các cử động của các bộ phận cơ thể.
Trong khi đó, vỏ não trước trán sẽ kiểm soát các chức năng quan trọng như trí thông minh, trí nhớ, tính khí, sự tập trung và cá tính của một người. Nằm bên cạnh vỏ não vận động nguyên phát là vỏ não tiền vận động.
Vai trò chính của nó là hướng dẫn những cử động của đầu, mắt và xác định phương hướng cho cơ thể. Ngoài ra, một vùng khác nằm ở thùy trán, phía bán cầu trái của não, có tên là Broca cũng giữ một vị trí đặc biệt quan trọng trong việc tạo ra ngôn ngữ.
2.2 Thùy đỉnh (Parietal lobe)
Giúp xử lý thông tin về nhiệt độ, mùi vị, xúc giác và chuyển động. Con người có thể dựa vào trí nhớ và các thông điệp cảm xúc mới nhận được để có thể suy đoán ý nghĩa của các sự vật. Khi thùy đỉnh bị tổn thương có thể gây ra các vấn đề về trí nhớ, ngôn ngữ và khả năng điều khiển ánh nhìn.
2.3 Thùy thái dương (Temporal lobe)
Giúp xử lý ký ức, tích hợp chúng với các cảm giác về vị giác, âm thanh, thị giác và xúc giác. Thùy thái dương thường nằm ở phần thấp của não bộ, được chia thành 2 phần khác nhau ở mỗi bán cầu não.
Vùng bên bán cầu não phải sẽ kiểm soát bộ nhớ thị giác, giúp bạn nhận dạng được khuôn mặt người và các sự vật xung quanh. Trong khi đó, vùng bên bán cầu não trái sẽ kiểm soát bộ nhớ ngôn ngữ, giúp bạn có thể thông hiểu ngôn ngữ và ghi nhớ.
Bên cạnh đó, trong thùy thái dương còn có hồi hải mã – giúp hình thành các ký ức trong não bộ. Một số vấn đề về trí nhớ, kỹ năng ngôn ngữ hoặc nhận biết tiếng nói có thể xảy ra nếu hồi hải mã bị tổn thương.
2.4 Thùy chẩm (Occipital lobe)
Nằm ở phía sau não bộ và chứa hệ thống xử lý thị giác của não, giúp con người dễ dàng tiếp nhận và xử lý các thông tin về thị giác. Vùng thị giác chính nằm trong thùy chẩm có chức năng nhận và phân tích các thông tin nhận được từ võng mạc của mắt.
Nếu vùng này bị tổn thương có thể làm ảnh hưởng nghiêm trọng tới thị giác, gây ra các vấn đề như mù màu, khó nhận dạng được vật thể, đôi khi không nhận dạng được từ ngữ.
3. Một số tình trạng có thể ảnh hưởng đến não bộ
Dưới đây là một số vấn đề về sức khỏe có thể ảnh hưởng đến chức năng của não bộ, bao gồm:
3.1 Đau đầu
Có nhiều dạng đau đầu khác nhau, trong đó có một số loại ảnh hưởng nghiêm trọng tới não bộ. Tuy nhiên, hầu hết các trường hợp đau đầu thường ở mức độ kiểm soát được và có thể điều trị bằng các loại thuốc giảm đau.
3.2 Đột quỵ (nhồi máu não)
Dòng máu và oxy đi đến một vùng mô não đột ngột bị gián đoạn và chết đi có thể gây ra các cục máu đông trong não. Đây là nguyên nhân hàng đầu dẫn đến các cơn đột quỵ.
3.3 Phình động mạch não
Khi một động mạch ở trong não phát triển tại một vùng yếu có thể bị phình ra như một quả bóng. Khi những động mạch này bị vỡ ra sẽ dẫn đến nguy cơ đột quỵ rất cao.
3.4 Tụ máu dưới màng cứng
Tụ máu dưới màng cứng là tình trạng chảy máu trong hoặc bên dưới lớp màng cứng – lớp niêm mạc bên trong hộp sọ. Vấn đề này có thể gây áp lực lớn lên bão và dẫn đến các vấn đề về thần kinh.
3.5 Xuất huyết não
Xuất huyết não là tình trạng chảy máu ở bên trong não bộ.
3.6 Chấn thương
Chấn thương ở não có thể gây rối loạn tạm thời chức năng não bộ.
3.7 Phù não
Là tình trạng sưng mô não do chấn thương hoặc mất cân bằng điện giải.
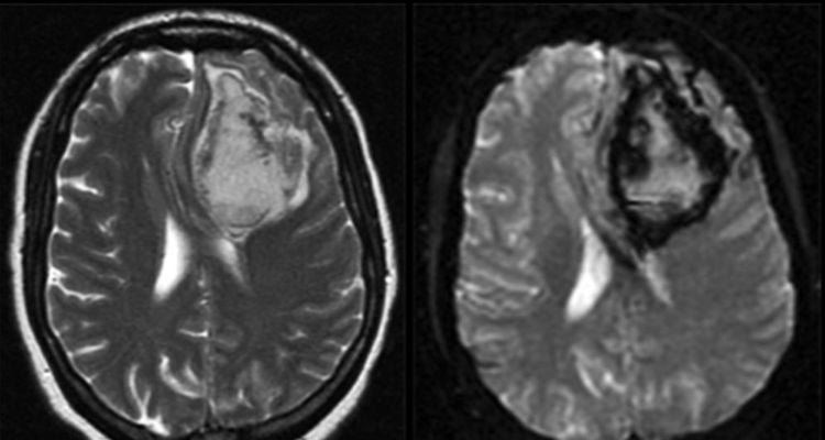
3.8 Khối u não
Khối u não bao gồm các mô phát triển bất thường bên trong não bộ. Dù là ác tính hay lành tính thì các khối u não cũng có thể gây ra các vấn đề về não bộ do áp lực mà chúng tác động lên não.
3.9 Não úng thủy
Não úng thuỷ là tình trạng lượng dịch não tủy bên trong hộp sọ tăng lên một cách bất thường. Thông thường điều này là do chất lỏng không lưu thông đúng cách.
3.10 Viêm màng não
Viêm màng não là tình trạng viêm niêm mạc xung quanh não hoặc tủy sống, thường gây ra do nhiễm trùng. Một số triệu chứng thường gặp của viêm màng não, bao gồm cứng cổ, đau cổ, sốt, nhức đầu và buồn ngủ.
3.11 Sa sút trí tuệ
Là sự suy giảm chức năng nhận thức do các tế bào thần kinh trong não bị chết hoặc hoạt động sai. Tình trạng các dây thần kinh trong não bị thoái hóa, do lạm dụng rượu hoặc đột quỵ, có thể gây ra chứng sa sút trí tuệ.
XEM THÊM
- Ý nghĩa và ứng dụng của xét nghiệm dịch não tủy
- Tác hại của nghiện game tới não bộ và sức khỏe tâm thần
- Đau đầu, suy nghĩ lung tung dấu hiệu bệnh gì?
Để đặt lịch khám tại viện, Quý khách vui lòng bấm số HOTLINE hoặc đặt lịch trực tiếp TẠI ĐÂY. Tải và đặt lịch khám tự động trên ứng dụng MyVinmec để quản lý, theo dõi lịch và đặt hẹn mọi lúc mọi nơi ngay trên ứng dụng.
