Bài viết được tư vấn chuyên môn bởi Thạc sĩ, Bác sĩ Trịnh Thị Phương Nga – Bác sĩ Chẩn đoán hình ảnh – Khoa Chẩn đoán hình ảnh và Y học hạt nhân – Bệnh viện Đa khoa Quốc tế Vinmec Times City. Bác sĩ đã có gần 20 năm kinh nghiệm trong chuyên ngành chẩn đoán hình ảnh.
Phổi có màu trắng hay khi thấy hình ảnh X – quang phổi màu trắng là một hiện tượng quan sát được khi tiến hành chụp X – quang phổi ở một số bệnh nhân có vấn đề về cơ quan hô hấp, đặc biệt là phổi. Hiện tượng này còn có tên gọi là bệnh phổi màu trắng đã gây ảnh hưởng đến tình trạng sức khỏe của bệnh nhân, cần được phát hiện và điều trị kịp thời.
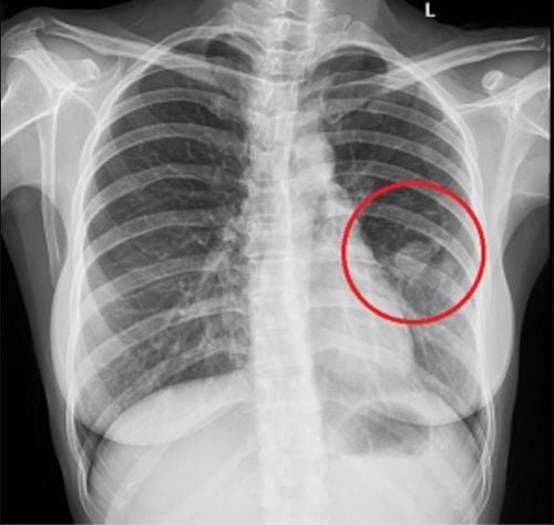
1. Chụp X – quang phổi màu trắng
Trước một nhân vào viện để kiểm tra sức khỏe định kỳ, hoặc có một số dấu hiệu bất thường liên quan đến những cơ quan hô hấp như ho, khó thở… hay một số lý do khác thì thông thường sẽ được chỉ định chụp X – quang phổi để khảo sát tình trạng các cơ quan trong lồng ngực như tim, phổi… Phương pháp này sử dụng năng lượng bức xạ từ tia X đi xuyên qua những cơ quan trong lồng ngực để ghi lại hình ảnh tại đây, từ đó có thể giúp các bác sĩ kết hợp cùng với những dấu hiệu lâm sàng để phát hiện ra nguyên nhân gây bệnh trên bệnh nhân đó.
Tùy vào bản chất của từng cơ quan mà độ hấp thụ tia X của những cơ quan đó sẽ nhiều hay ít, cho ra hình ảnh trên phim chụp X – quang sẽ có màu đen, trắng, xám với những mức độ đậm nhạt khác nhau. Trên thực tế lâm sàng, một số trường hợp cho thấy được hình ảnh X – quang phổi màu trắng ở 1 hoặc cả 2 lá phổi của bệnh nhân, hay có khi là những hình ảnh X – quang phổi mờ hơn bình thường, nốt mờ ở đỉnh phổi hoặc phổi có đốm trắng và kem theo đó là những triệu chứng lâm sàng như ho ra đờm, khó thở thì đây sẽ là những dấu hiệu điển hình để định hướng chẩn đoán đến bệnh lý phổi màu trắng trong những trường hợp này. Đây là bệnh lý liên quan đến những rối loạn về hệ hô hấp do tình trạng không đủ oxy cung cấp cho phổi khiến hình ảnh phổi trên phim chụp X – quang là màu trắng một phần hay toàn bộ.
2. Phổi màu trắng
Phổi màu trắng được định nghĩa là bệnh lý bị gây ra bởi tình trạng tổn thương phổi, xơ cứng phổi 1 bên hay 2 bên, dần dần sau đó sẽ mất chức năng trao đổi oxy gây ra những triệu chứng lâm sàng như khó thở. Theo những nghiên cứu trên thế giới thì có rất nhiều nguyên nhân dẫn đến bệnh lý phổi màu trắng, hoặc có khi không tìm ra nguyên nhân gây bệnh nhưng một số lý do điển hình thường gặp trên thực tế lâm sàng như sau:
- Hút thuốc lá hoặc hít phải khói thuốc lá:
Những người hút thuốc lá hằng ngày với số lượng lớn sẽ có nguy cơ rất cao mắc phải những bệnh lý liên quan đến phổi như phổi màu trắng, lao phổi, viêm phổi, tràn dịch màng phổi và ung thư phổi. Ngoài ra, những người xung quanh khi hít phải khói thuốc lá cũng sẽ phải đối mặt với nguy cơ bị bệnh phổi màu trắng, có khi còn cao hơn so với những người trực tiếp hút thuốc lá, đặc biệt là đối tượng trẻ em khi hít phải khói thuốc lá sẽ dễ mắc bệnh hơn.
- Sự thay đổi thất thường của thời tiết:
Một số ảnh hưởng từ thời tiết có thể khiến bệnh nhân dễ mắc phải những bệnh lý đường hô hấp, điển hình như tình trạng ho khan, ho có đờm kéo dài, viêm phổi, viêm phế quản…, và nếu tình trạng này tái diễn nhiều lần và không được điều trị dứt điểm thì sẽ là điều kiện thuận lợi để bệnh phổi màu trắng nảy sinh.
- Ô nhiễm môi trường đang sinh sống:
Môi trường xung quanh bị ô nhiễm vì có quá nhiều khói, bụi, các hóa chất độc hại thải ra từ những ngành công nghiệp sẽ gây ra những bệnh lý hô hấp cho người sinh sống, trong đó có bệnh phổi màu trắng. Nếu tính chất công việc phải làm trong những điều kiện môi trường có chứa những chất độc hại như Uranium, Amiang và thạch tín thì sẽ có nguy cơ bị bệnh phổi màu trắng và ung thư phổi cao hơn so với người không làm việc ở những môi trường như vậy.
Bên cạnh những dấu hiệu lâm sàng như ho có đờm, ho khan, khó thở… thì một phương tiện cận lâm sàng giúp hỗ trợ chẩn đoán sẽ được chỉ định như chụp X – quang phổi hoặc các phương pháp chẩn đoán hình ảnh khác như chụp cắt lớp vi tính phổi. Những kết quả như hình ảnh X – quang phổi màu trắng hay chụp cắt lớp vi tính phổi thấy những đám màu trắng sẽ giúp định hướng tìm ra nguyên nhân gây bệnh, từ đó sẽ có những phương pháp chữa trị thích hợp. Để điều trị bệnh phổi màu trắng thì bên cạnh việc dùng thuốc theo phác đồ mà bác sĩ điều trị đưa ra thì bệnh nhân cũng cần thay đổi một số thói quen xấu trong phong cách sống của mình như từ bỏ việc hút thuốc lá để giảm thiểu nguy cơ mắc bệnh cho bản thân và cho người xung quanh, cũng như ngăn chặn khả năng xảy ra những biến chứng không mong muốn.
Những biến chứng để lại khi bệnh nhân mắc bệnh phổi màu trắng đó là:
- Áp – xe phổi hoặc có những ổ mủ bên trong phổi.
- Viêm phổi, đông đặc nhu mô thùy phổi.
- Bệnh lý tràn dịch màng phổi
- Hội chứng nhiễm khuẩn huyết xảy ra đối với tình trạng phổi màu trắng nghiêm trọng, với rất nhiều tình trạng viêm nhiễm phế nang và những tổ chức khác trong phổi, từ đó theo đường máu gây ra tình trạng nhiễm khuẩn huyết và sau đó là nhiễm khuẩn những hệ cơ quan khác trong cơ thể nếu không phát hiện và điều trị sớm.
- Hội chứng suy hô hấp cấp tính.
Phổi màu trắng là bệnh lý vô cùng nguy hiểm, có thể dẫn đến hàng loạt những tổn thương khác trong cơ thể, nhất là với trẻ em, người lớn tuổi đang mắc một số bệnh nền, phụ nữ có thai và những đối tượng bệnh nhân có hệ miễn dịch kém khác. Vì vậy, cần có những phương pháp để phòng ngừa căn bệnh nguy hiểm này, bao gồm:
- Hạn chế việc hít khói thuốc lá từ môi trường xung quanh, có thể tìm một không gian riêng hoặc đề nghị những người xung quanh không hút thuốc lá.
- Đeo khẩu trang ở những nơi đông người
- Uống nước hằng ngày với lượng cần thiết cho cơ thể.
- Ăn uống đầy đủ chất dinh dưỡng để tăng cường hệ miễn dịch.
- Duy trì một chế độ luyện tập thể dục thể thao phù hợp với sức khỏe của bản thân.
- Vệ sinh mũi và miệng với nước muối sinh lý mỗi ngày để ngăn chặn tình trạng nhiễm khuẩn.
- Kiểm tra sức khỏe định kỳ để phát hiện bệnh kịp thời.
- Khi có bất cứ triệu chứng bất thường nào thì đến ngay cơ sở y tế để được thăm khám và chẩn đoán kịp thời.
3. Kết luận
Phổi màu trắng là bệnh lý được chẩn đoán khi bệnh nhân có những biểu hiện bất thường về đường hô hấp như ho, khó thở… cùng với hình ảnh X – quang phổi màu trắng hoặc chụp cắt lớp phổi màu trắng. Đây là một bệnh lý nguy hiểm và có nguy cơ để lại những biến chứng nghiêm trọng với sức khỏe người bệnh, vì vậy cần được phát hiện và chữa trị sớm nhất ngay khi có thể.
Để đặt lịch khám tại viện, Quý khách vui lòng bấm số HOTLINE hoặc đặt lịch trực tiếp TẠI ĐÂY. Tải và đặt lịch khám tự động trên ứng dụng MyVinmec để quản lý, theo dõi lịch và đặt hẹn mọi lúc mọi nơi ngay trên ứng dụng.
